DoctalignFormation/La FRÉNECTOMIE en orthodontie™ lumière et démystification sur le frein labial supérieur en Orthodontie

PROGRAMME DE LA FORMATION

👆 Introduction
1. 🤝 Les relations paro-ortho
2. 💁‍♂️ Indications-Diagnostic
3. 👶 Embryologie du frein labiale supérieur
4. 👨‍⚕️ Techniques chirurgicales
👇 Conclusion

Présentation de la formation

 
En tant que parodontiste, je suis de plus en plus sollicité à propos des FREINS LABIAUX SUPÉRIEURS
Au vu de la demande très croissante en orthodontie, la frénectomie est devenue aussi fréquente d’indication. 
 
Au cours de ces 40 dernières années de pratique, j’ai pu me faire une feuille de route reproductible que j’ai à cœur de vous transmettre en détail aujourd’hui. 
 
Le frein labial supérieur peut être un élément pathogène sur les plans parodontique, prothétique, mais aussi implantaire.  Savoir les diagnostiquer et les traiter au bon moment constitue un véritable atout dans notre omnipratique.

Dans ce module de formation, nous nous concentrerons, autour d’une majorité de cas cliniques très concrets.


Chaque étape clinique de la frénectomie vous sera détaillée avec le matériel nécessaire à la réalisation de ces pratiques, afin que vous puissiez vous aussi traiter ces brides pathologiques .


En intégrant ces techniques à votre pratique quotidienne, vous pourrez devenir, je l’espère, un référent fiable pour tout ce type de savoir-faire. 

A tout de suite !
Les relations paro-ortho

Les relations paro-ortho

Les relations parodontologie-orthodontie, sont un aspect essentiel de la pratique orthodontique moderne. Cette discipline met l'accent sur la compréhension et la gestion des interactions entre les tissus parodontaux (gencives, os alvéolaire) et les mouvements dentaires. En effet, une communication harmonieuse entre l'orthodontiste et le parodontiste est cruciale pour le succès du traitement orthodontique, en particulier lorsqu'il s'agit de cas tels que la frénectomie.

Au cours de cette formation, vous découvrirez comment évaluer les relations paro-ortho, diagnostiquer les problèmes potentiels, et élaborer des plans de traitement efficaces qui tiennent compte à la fois des besoins orthodontiques et parodontaux du patient. Cette compréhension approfondie des relations paro-ortho sera essentielle pour garantir des résultats optimaux lors de la frénectomie dans le contexte de l'orthodontie.

Indications et Diagnostic

Indications et Diagnostic

Les indications et le diagnostic dans le cadre de la frénectomie labiale supérieure sont essentiels pour évaluer si l'intervention est nécessaire. Nous examinons notamment la longueur et la mobilité du frein, évalue les problèmes parodontaux potentiels et analyse l'impact sur le traitement orthodontique. L'utilisation d'examens cliniques, radiographiques et orthodontiques aide à déterminer si la frénectomie est appropriée pour chaque patient, assurant ainsi des résultats optimaux.

Embryologie du frein

Embryologie du frein

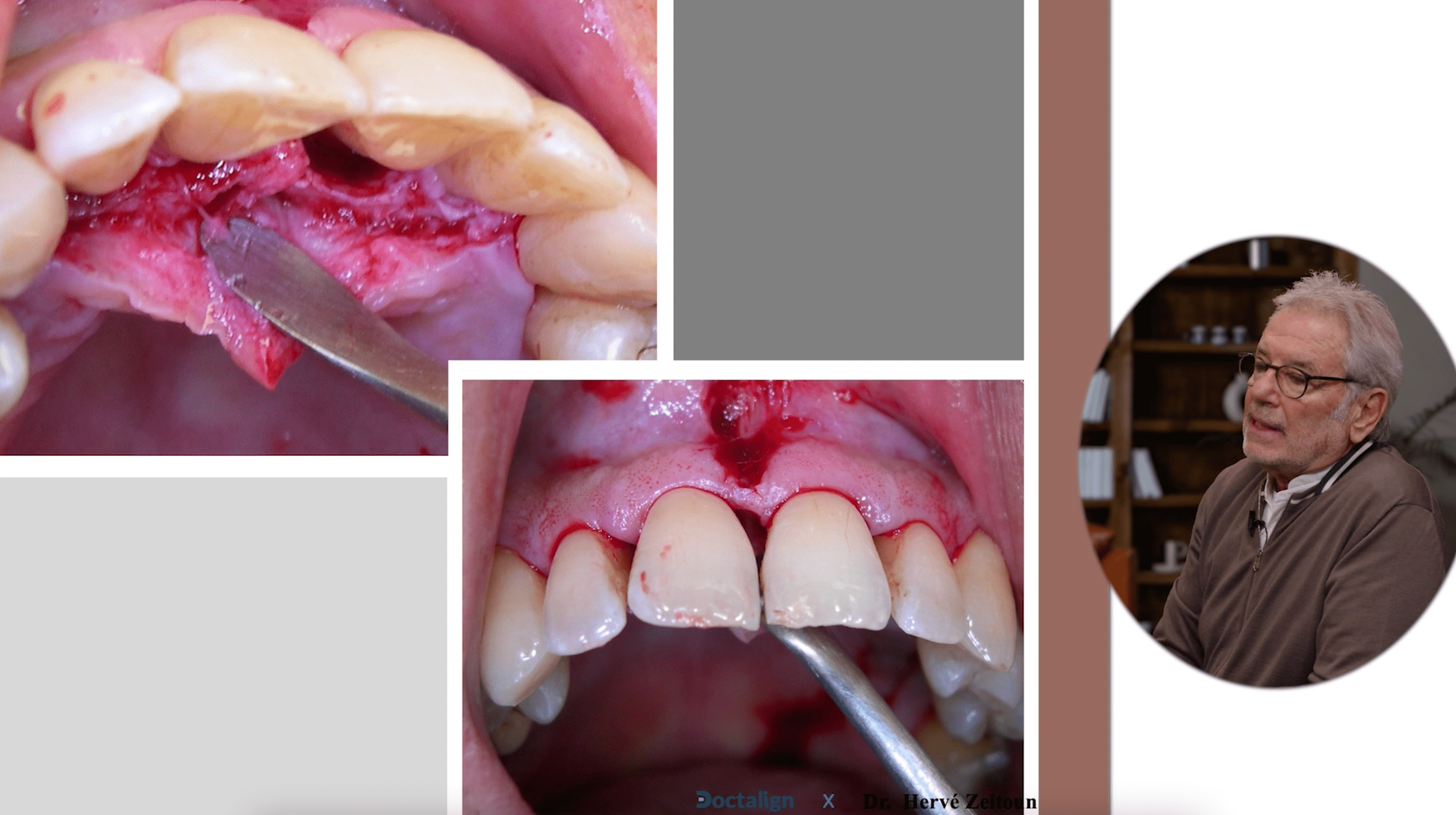
Techniques chirurgicales frénectomie

Techniques chirurgicales

Ce chapitre de la formation détaille pas à pas les techniques chirurgicales spécifiques du Dr. Zeitoun pour la frenectomie, offrant des méthodes précises et innovantes qui optimisent l'efficacité du processus, permettant ainsi de gagner un temps précieux lors de l'intervention.

Il te reste des questions ?

Questions & Réponses

Je réponds aux questions les plus fréquentes 👇

À quoi ressemble la formation ?

Il s'agit d'une formation vidéo que tu vas pouvoir suivre depuis ton espace membre.

Elle n'est pas en direct : une fois ton achat effectué, tu pourras la suivre quand tu le veux, autant de fois que tu le veux.

Le formateur filme son écran et t'explique chaque étape une par une, simplement, comme s'il était à côté de toi.

La formation est fournie avec des documents texte, que tu pourras télécharger.

Un Quiz est également mis à ta disposition afin de fixer tes nouvelles connaissances.

Comment accéder à la formation ?

Clique sur le bouton "Démarrer la formation". 

Une fois ton paiement effectué, tu recevras immédiatement un accès à la formation intégrale.

Combien de temps aurais-je accès à la formation ?

Tu conserveras ton accès à la formation à vie. Tu pourras la suivre et la suivre à nouveau, dès que tu en sentiras le besoin.

Si un jour, nous décidons de changer de plateforme d'hébergement (ce qui est peu probable), tu pourras nous envoyer un email et nous te renverrons la formation.

Que faire si j'ai une question sur la formation ?

Si tu rencontres une difficulté pour accéder à ta commande, contacte le support à doctalign@gmail.com.

Mon équipe te répondra rapidement.

Note : cette formation n'est pas fournie avec une prestation d'accompagnement. L'équipe n'est pas habilitée à répondre aux questions concernant le contenu ou l'application de la formation.

  • 239 € ou 2 paiements mensuels de 119,50 €

La FRÉNECTOMIE en orthodontie™ lumière et démystification sur le frein labial supérieur en Orthodontie

Les secrets de la Frénectomie labiale supérieure dans les traitements d'Orthodontie.